Cos’è il DENTALSCAN?
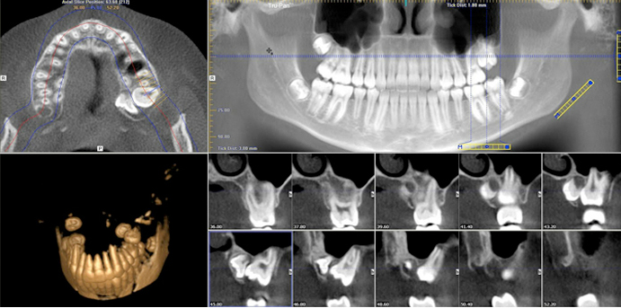
Il Dentalscan o Tac dentale valuta la condizione generale delle arcate dentarie in caso di impianti ed estrazioni dentali. È uno strumento digitale con immagini tridimensionali per poter elaborare la ricostruzione dentale, per agevolare il programma di ricostruzione e coadiuvare l’opera del dentista che potrà modificare le operazione tridimensionali (misurazioni) a suo gradimento.
La qualità dell’indagine diagnostica delle immagini è fondamentale per un corretto percorso terapeutico. Essa determina la qualità delle scelte terapeutiche successive. Solo un’alta qualità diagnostica permette ai professionisti di rispettare il principio di giustificazione per il quale un’indagine radiologica deve garantire effettivi vantaggi per il paziente che ne è sottoposto.
Un approccio del tutto nuovo alla disciplina odontoiatrica resa possibile dalla più elevata tecnologia della diagnostica per immagini digitale in 3D Cone Beam (tomografia computerizzata). Il clinico che approccia alla definizione di un piano terapeutico (Il field of view Fov) deve infatti poter reperire tutte le informazioni anamnestiche e diagnostiche utili alla definizione della stessa. I principi di ottimizzazione e giustificazione a cui si deve ispirare il professionista non dovranno essere inficiati da limiti tecnologici legati alle apparecchiature usate, che dovranno quindi offrire tutte le possibilità diagnostiche necessarie senza alcun compromesso: ed è proprio questa la mission del Dentalscan.
Tecnologia Cone Beam
La tecnologia Dentalscan Cone Beam 3D (Tomografia Computerizzata) è utilizzata per svolgere esami radiodiagnostici sofisticati applicati nel campo dell’implantologia moderna. La tecnologia Cone Beam è in grado di svolgere scansioni delle arcate dentali mediante una bassa dose di raggi X, sottoponendo quindi il paziente ad un esame ancor più sicuro per la propria salute.
Lo scanner del macchinario Dentalscan Cone Beam, effettuando una rotazione intorno il paziente, è in grado di produrre, nel giro di pochi secondi, centinaia di immagini che il sofware elaborerà per restituire le immagini 3D delle zone maxillo-facciali esaminate.
Con la tecnologia Cone Beam Dentalscan si avrà a disposizione:
- Esami diagnostici di qualità
- Possibilità di manovrare le immagini per una diagnosi più precisa
- Meno radiazioni
- Esami 2D o 3D
- Tomografia Computerizzata in 3D
Dubbi sul dentalscan? Leggi cosa abbiamo da dirti!
Contattaci telefonicamente
Centro Medico Arcidiacono
La tua salute al centro del nostro Mondo
06.2070889
Via di Prataporci 52, Roma
info@centromedicoarcidiacono.it
Oppure contattaci via mail


