Tac Cone Beam Roma

    La TAC CONE BEAM a Roma puoi prenotarla online con un servizio app che ti permette di velocizzare la procedura di prenotazione, di evitare file e lunghe attese, e di usufruire anche delle nostre promozioni su visite mediche specialistiche e sugli esami diagnostici. A darti questa opportunità è il Centro Medico Polispecialistico Arcidiacono…

Risonanza magnetica aperta roma

TAC e Risonanza Magnetica a confronto Per i non addetti ai lavori, comprendere la differenza tra Tac e Risonanza Magnetica è principalmente dovuta alla preoccupazione per ciò che riguarda l’esposizione a Raggi X e quale delle due tecnologie diagnostiche possa essere maggiormente efficace. Possiamo rispondere a quest’ultimo quesito, indicando nel medico e nello specialista l’indicazione…

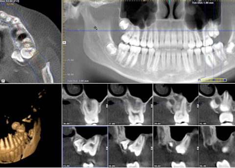
tac dentale - dentalscan

La TAC dentale aiuta il vostro dentista a individuare le anomalie emerse durante la panoramica dentale: è un esame di secondo livello approfondito, che può rendere noto lo stato di salute dell’osso su cui si intende installare protesi o nuovi impianti (TAC dentale roma). È consigliata per il suo basso grado di radiazioni (si ritiene…

2020 © Copyright Centro Medico Arcidiacono

P.IVA 09714261006

PEC: ciemmea@pec.it

Policy Privacy

Per Info 06.2070889

Privacy Policy