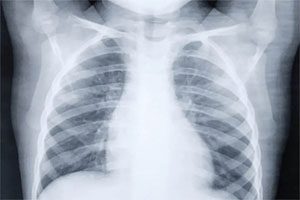
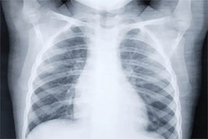
Pochi sintomi di Covid-19 o addirittura nessuno. Ma la radiografia del torace svela la realtà: la malattia si è fatta strada nei polmoni ed è visibile – bianco su nero – nelle ‘lastre’. Per la precisione, in 100 su 170 eseguite in una sola settimana; si è scoperto che Radiografia torace svela Covid in asintomatici.
E’ la scoperta di un team di ricercatori dell’Irccs Galeazzi e dell’università Statale di Milano, autori di un’indagine su pazienti del primo focolaio di nuovo coronavirus svelato in Italia, quello di Codogno. Indagine che, spiegano gli esperti, rileva un alto coinvolgimento polmonare in persone della ‘zona rossa’ del Lodigiano.
Il lavoro dell’Istituto ortopedico è pubblicato sulla rivista ‘Radiology’ ed è stato condotto in collaborazione anche con gli atenei di Pavia e Palermo e con il centro Medical Radiologico di Codogno e la Radiologia della Casa di Cura San Camillo di Cremona.
I ricercatori documentano in maniera dettagliata la compromissione polmonare in persone all’apparenza non intensamente colpite da Covid-19, in quanto asintomatiche o poco sintomatiche.
Il 23 febbraio, ricordano gli autori dell’indagine, dopo la scoperta del paziente 1 avvenuta all’ospedale di Codogno in data 20 febbraio, è stata imposta alla popolazione della stessa cittadina e di 10 comuni limitrofi una quarantena di 14 giorni. Al termine del periodo, un centro radiologico codognese ha ricevuto “un’alta e anomala richiesta di radiografie al torace da parte della popolazione.
Alcuni pazienti – ricostruiscono gli esperti – sono stati inviati dai medici di base, altri invece si sono presentati spontaneamente per sottoporsi a un controllo, preoccupati dall’evolversi della malattia”. Tutti i pazienti provenivano da un ambiente ad alto contagio e ad elevato rischio di trasmissione del virus.
Spiega Luca Maria Sconfienza, responsabile dell’Unità di Radiologia diagnostica e interventistica al Galeazzi e professore all’università Statale di Milano, tra gli autori del paper
“Il lavoro dei ricercatori del Galeazzi e dei colleghi delle università e delle radiologie si è focalizzato sull’analisi retrospettiva delle radiografie al torace eseguite post-quarantena. I pazienti che richiedevano la Rx non riferivano particolari malesseri oppure solo sintomi piuttosto vaghi, come febbricola (sotto 37,5°C) e avvisaglie parainfluenzali, ma nessuno manifestava chiari sintomi da Covid”.
n una sola settimana è stato riscontrato come 100 radiografie al torace su 170 – circa il 60% – presentavano immagini riconducibili a una polmonite interstiziale bilaterale, quindi altamente sospette e riferibili alla polmonite correlata a Covid-19. Il coinvolgimento era bilaterale in tutti i casi: simmetrico nel 54% dei pazienti, mentre le anomalie dei raggi X al torace erano maggiori su un lato del torace nel 46% dei casi.
“Le radiografie del torace ci hanno pertanto fornito informazioni sul coinvolgimento polmonare in questi pazienti, provenienti da un focolaio” di Sars-CoV-2 “ad alta prevalenza. Questi risultati supportano i dati che stanno emergendo in merito alla trasmissione della patologia in soggetti asintomatici o poco sintomatici, che quindi possono risultare positivi al virus e pertanto contagiosi anche in assenza di sintomi e anche dopo due settimane di quarantena”.
Fonte: L’Inserto

